理化学研究所の西道隆臣さん=本人提供

 アルツハイマー病の治療につながる新たな標的を、理化学研究所やスウェーデン・カロリンスカ研究所などのチームがマウスの脳神経細胞から発見した。この標的は受容体と呼ばれるたんぱく質で、これと結合する物質を開発すれば、安価で安全な治療薬につながる可能性があるという。19日付の米医学誌に発表した。

 生物では、細胞外に存在する物質が「鍵」となって、細胞表面の「鍵穴」である受容体と結合し、さまざまな活動が始まることが知られている。

 理研の西道(さいどう)隆臣(たかおみ)客員主幹研究員(神経科学)らは2001年、アルツハイマー病の原因物質とされる「アミロイドベータ(Aβ)」を分解する酵素ネプリライシンを発見。その後、神経細胞内にあるネプリライシンの働きを左右しているのが、細胞外に分布している物質「ソマトスタチン」だったことを明らかにした。

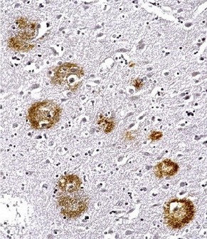
マウスの神経細胞内にあった「アミロイドベータ(Aβ)」(黒っぽい斑点部分)。アルツハイマー病の原因物質と考えられている=理化学研究所の西道隆臣さん提供

 しかし、ソマトスタチンの鍵穴に当たる受容体にはさまざまな仲間があり、どれがネプリライシンの受容体なのかが謎だった。

 チームは、アルツハイマー病のマウスや遺伝子操作などを駆使し、ネプリライシンと結合する受容体を特定した。その受容体は記憶や学習をつかさどる海馬や大脳皮質に多く存在することも突き止めた。

 Aβを減らす薬には「レカネマブ」が公的医療保険の適用対象になったが、開発の難しさなどを背景に高額な薬価が課題となっている。これに対し、鍵と鍵穴の関係を利用した医薬品は開発コストを下げやすく、ネプリライシンとソマトスタチンはマウスや人に存在する。

 西道さんは「アルツハイマー病は、症状が出る前から治療を始めることが重要だ。日本だけでなく高齢化が進む各国で患者が増えると予想され、医療費の増大が避けられない。この成果を生かし、安価で安心な薬剤につなげたい」と話す。【田中泰義】

鄭重声明:本文の著作権は原作者に帰属します。記事の転載は情報の伝達のみを目的としており、投資の助言を構成するものではありません。もし侵害行為があれば、すぐにご連絡ください。修正または削除いたします。ありがとうございます。